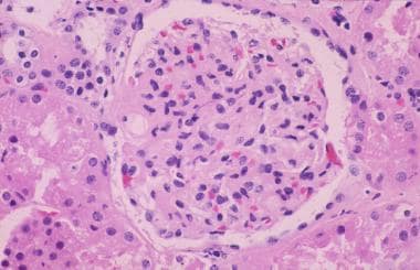
Pietro A. Canetta, MD, MS, reflects on a particularly impactful case involving a young professional with IgA nephropathy, who was diagnosed after showing mild proteinuria and hematuria. Despite a biopsy revealing significant inflammation, the patient was initially treated with standard supportive care, but his motivation led to a more aggressive treatment plan, including steroids.
This approach, considered too aggressive at the time, resulted in the patient’s complete remission and stable GFR after 10 years. Dr Canetta now believes that early and aggressive treatment, including immunosuppression, is essential for long-term management and improving patient outcomes in IgA nephropathy.



