Conference MDAngle offers personal perspectives from conference attendees, showcasing their anticipation, quick takeaways, and insights into how the presented research will affect their patients.
The 2025 Annual Meeting of the American Academy of Neurology (AAN) will be held in San Diego, California, on April 5-9. The conference will feature clinical, poster, and scientific sessions, as well as plenary sessions on the latest research news in neurology presented by leading researchers in the field. In the relapsing-remitting multiple sclerosis (RRMS) setting, sessions will include presentations on the revised 2024 McDonald criteria, disease-modifying treatments for MS, and the diagnosis and treatment of MS in diverse populations. There will also be discussions about the role of AI in neurologic practice. The 2025 AAN Annual Meeting promises to be a landmark event, bringing together leading experts to share groundbreaking research and innovations that will shape the future of neurology.

Pavan Bhargava, MD
Associate Professor, Department of Neurology, University of California; Associate Professor, Johns Hopkins Hospital, Baltimore, Maryland
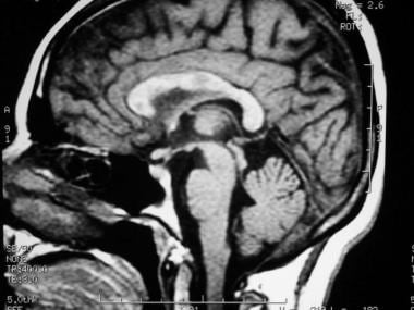
“At the 2025 Annual Meeting of the American Academy of Neurology, I am looking forward to hearing about the new diagnostic criteria for relapsing-remitting MS. The McDonald criteria have been updated in 2024. This update includes a new application of MRI techniques that makes them more specific and more sensitive for the diagnosis of relapsing-remitting MS.”
Preconference Considerations
AAN 2025: Previewing New Data in the Management of RRMS
Dr Bhargava previews the 2025 Annual Meeting of the American Academy of Neurology (AAN), where the updated diagnostic criteria for RRMS will be discussed, with a focus on new MRI techniques that improve specificity and sensitivity. The meeting will also address the impact of social determinants of health on MS, along with updates on biomarkers for diagnosis and prognosis, and new treatment options. Additionally, there will be insights into how diet can be optimized to improve disease outcomes for patients with MS.
Quick Clinical Takeaways
Coming soon: Dr Bhargava highlights new data and progress regarding RRMS immediately following AAN.
How Will My Patients Benefit?
Coming soon: Dr Bhargava reflects on how new data from AAN will affect his patients with RRMS.



