Please confirm that you would like to log out of Medscape.
If you log out, you will be required to enter your username and password the next time you visit.
Log outCancel
American College of Cardiology (ACC) 2022 Scientific Session
April 02 - 04, 2022; Washington, DC, and Virtual
April 02 - 04, 2022Washington, DC, and Virtual
ACC 2022APOLLO: SLN360 Clears First Major Hurdle, Hammering Lp(a)The results add to growing enthusiasm for achieving the 'holy grail' of a lipoprotein(a)-specific lowering agent, but whether it will reduce cardiovascular risk remains unknown.
Medscape Medical News, April 3, 2022
ACC 2022Supermarket Diet Advice Improves DASH Adherence: SuperWIN People who received personalized nutrition education at the grocery store significantly improved adherence to a healthy diet, in a study where researchers partnered with a large supermarket company.
Medscape Medical News, April 3, 2022
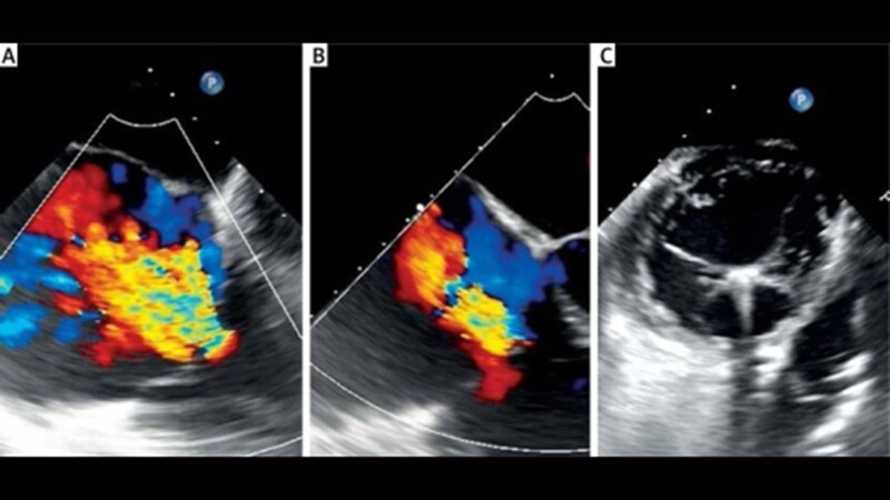
ACC 2022VALOR-HCM: Novel Drug May Delay, Avert Invasive Therapy in OHCMA medical alternative to highly invasive septal reduction therapy for patients with obstructive hypertrophic cardiomyopathy and symptoms despite standard meds? Perhaps, a randomized trial suggests.
ADAPTABLE: Low-Dose Aspirin as Good as High-Dose in CHD?A large randomized trial specifically designed to investigate the optimum dose of aspirin in patients with established coronary
disease has found similar efficacy and safety with 81 mg and 325 mg.